
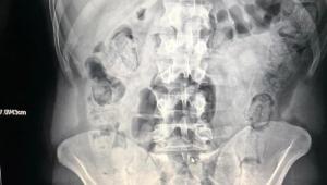
Kocaeli İl Emniyet Müdürlüğüne bağlı Narkotik Büro Ekipleri, almış oldukları duyum ve yaptıkları istihbarı çalışmalar sonucu, bazı şahısların Kocaeli üzerinden yüklü miktarda uyuşturucu sevkiyatı yapacağına dair bilgilere ulaştı. Şahısları bindikleri yolcu otobüsünde takibe alan ekipler, TEM Otoyolu üzeri İzmit İlçesinde durdurdu. Şahısların yapılan üst aramasındaki şüpheli hareketleri ve bir şüpheliye ait cekette üzerinde dışkı kalıntısı bulunan 25 fişek metamfetamin ele geçirilmesi üzerine ekipler durumdan şüphelendi. İran uyruklu olan 3 kişi gözaltına alınarak, savcılıktan alınan izin ile hastaneye götürüldü. Gözaltına alınan şüphelilerin çekilen röntgenlerinde midelerinde çok sayıda cisim olduğu görüldü. Bunun üzerine hekim kontrolünde şüphelilere verilen ilaçlar ile yabancı cisimleri çıkarmaları sağlandı. Toplamda 103 fişek halinde 871 gram metamfetamin ele geçirilen şüpheliler ifadelerinin alınmaları için Kocaeli İl Emniyet Müdürlüğüne götürüldü. Polise yakalanmamak amacıyla uyuşturucuları yutan şüphelilerin tamamlanan işlemleri sonrası Kocaeli Adliyesine sevk edilmesi bekleniyor.


